반응형

임신을 준비하면서 가장 먼저 떠오르는 질문은 “내 몸은 준비되었을까?”였어요.
특히 난소 기능과 자궁 상태는 임신 가능성에 대한 핵심 단서가 되죠.
다행히 대한민국에서는 이 두 가지 검사를 최대 13만원까지 지원해주는 제도가 있어요.

난소기능 검사란?
- 난소 기능 검사: 혈액검사를 통해 AMH 수치, FSH/LH, 에스트로겐 등을 측정해 여성의 난자 예비능력을 확인하는 검사
- 왜 중요한가?: 난포 예비능력은 연령대별 난자 수의 감소 추이를 파악할 수 있는 지표이며, 임신 준비 시점에 현황을 정확히 아는 것이 중요
- 지원 대상 & 한도: 보건소 또는 지정 병원에서, 여성이 만 20~44세이면 대부분 지원 가능, 최대 13만원 한도 내에서 검사 비용 전액 또는 일부 지원
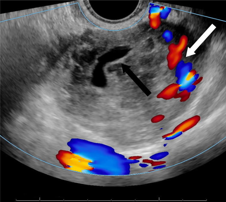
자궁초음파 검사란?
- 자궁 초음파 검사: 자궁 내막, 난소, 난관 상태를 확인하는 영상 검사.
- 경질 초음파 vs 복부 초음파: 임신 준비 시 경질(질식) 초음파가 정확하며, 자궁근종, 낭종, 자궁내막증 등 질환 조기 발견 가능
- 검사 주기: 일반적으로 1회 검사로 충분, 그러나 이상 소견이 있을 경우 재검사 필요

지원받는 방법
- 보건소 방문: 임신 준비 중임을 알리고 ‘난소기능 + 자궁초음파 지원 신청’을 합니다.
- 지정 의료기관 안내: 보건소에서 지정된 공공병원 또는 제휴병원 목록을 제공합니다.
- 진료 및 검사 후: 영수증 및 진료비명세서를 보건소에 제출하면 지원금이 최대 13만원까지 환급됩니다.
- 검사 순서:
- 우선 난소 기능 검사(채혈)
- 이후 자궁초음파(질식 또는 복부)
- 이상소견 시 추가 진료 가능
제가 겪은 경험 후기
- 지원 절차: 보건소 직원분이 안내해주신 지정 병원에서 신청서를 작성하고, 약 2일 뒤에 검사를 받았어요.
- 검사 결과: AMH 수치가 평균 이상으로 나와서 안심했고, 자궁내막도 정상.
- 지원금 수령: 의료비가 15만 원 나왔고, 지원금 13만 원을 환급받아 자기 부담은 2만 원으로 끝!
- 노하우 팁: 병원마다 비용 차이가 크니, 비용 안내표 확인 후 가능한 한 병원 비교하고 선택하는 것이 좋았어요.
자주 묻는 질문 (FAQ)
Q1. 나이 상관없이 모두 지원되나요?
→ 대부분 만 20~44세 여성이면 지원 대상이며, 연령별 세부 기준은 지자체마다 다를 수 있으니 보건소 문의 필수입니다.
Q2. 검사 후 이상이 발견되면 어떻게 하나요?
→ 추가 진단이나 치료가 필요할 경우, 건강보험 적용 범위 내에서 치료 받으시면 됩니다. 지원금은 처음 1회 검사까지만 포함됩니다.
Q3. 재검사가 필요한 경우에도 지원되나요?
→ 일반적으로 지원은 1회 한정이며, 이후 재검사는 각 병원의 비용 및 본인 부담에 따라 달라집니다.
Q4. 해외 체류 중에도 지원 가능할까요?
→ 해당 지자체의 주민등록 기준으로 지원 대상이 결정되므로, 해외 체류자의 경우 거주지 보건소에 문의해야 합니다.
7. 지원 절차 요약 (정리)
- 대상자: 만 20~44세 여성 (지자체 기준 확인 필수)
- 검사 항목: AMH/FHS 등 난소기능 + 자궁초음파
- 지원 범위: 최대 13만 원
- 절차 흐름: 보건소 → 지정 병원 → 검사 → 영수증 제출 → 환급
- 팁: 병원 비교, 사전 비용 문의, 정확한 검사 유형 확인
8. 마무리
임신을 준비하는 여러분, 미리 내 몸 상태를 확인하는 것이 가장 첫걸음이에요. 지금 가까운 보건소에 전화 문의 한 통으로 13만원 지원도 꼭 챙기세요!
'앤이 알려주는 일상 정보' 카테고리의 다른 글
| 65세 이상이라면 노인 연금 혜택 이렇게 챙기세요 (0) | 2025.09.08 |
|---|---|
| 유치원 무상교육, 언제부터 어떻게? (4) | 2025.08.03 |
| 디지털 전환 지원받고 매출 확 늘었어요 (5) | 2025.07.26 |
| 여성 창업 지원금: 2025년 신청 가이드와 실전 팁 (2) | 2025.07.16 |
| 토스프라임으로 절약한 후기! 혜택 6가지 (1) | 2025.07.15 |